1
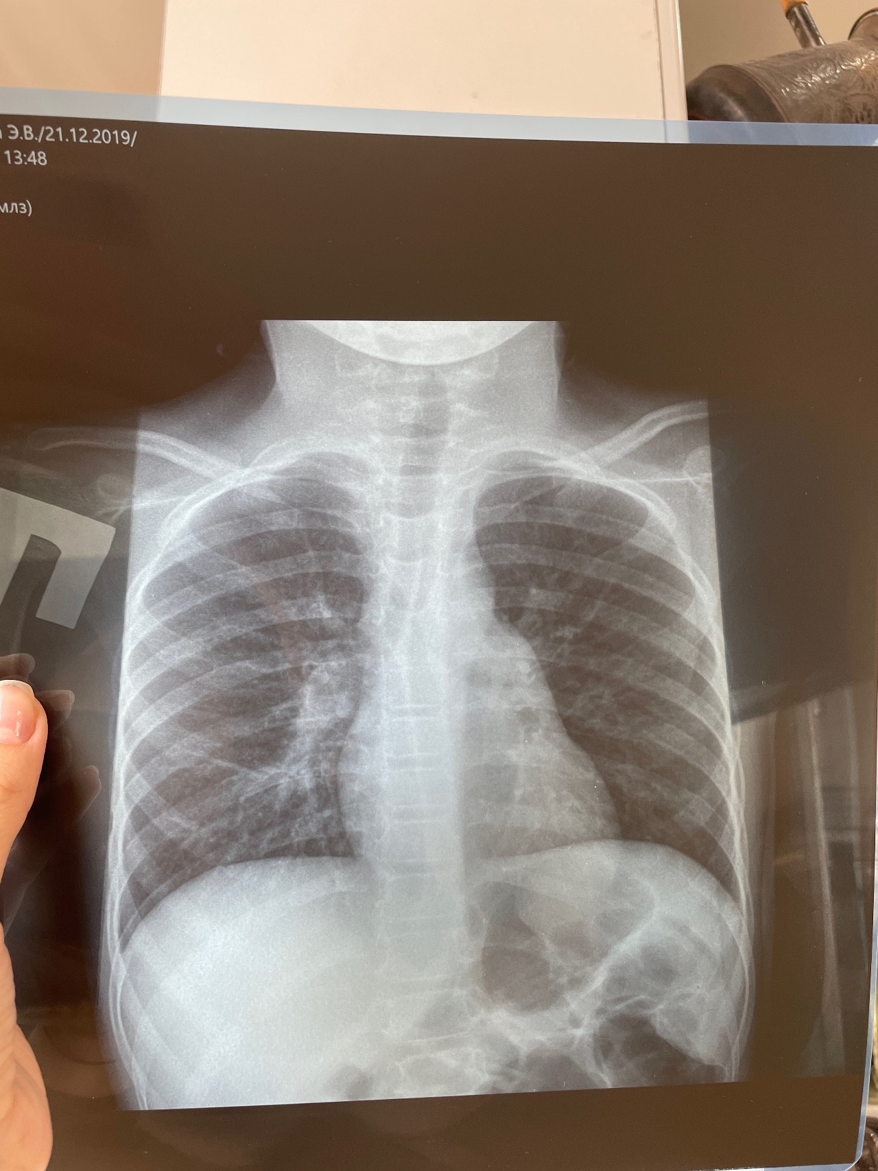
Что видите на ренгене, есть ли пневмония?
Спрашивает: Виктория
Пол: Женский
Возраст: 5 лет
Хронические заболевания: не указаны
Здравствуйте, рентген сделали на третий день кашля, при прослушивание было подозрение на пневмонию. Была температура 4 дня, в среднем 38. Кровь спокойная, ни вирусная, ни бактериальная. Видите ли вы тут пневмонию?
Категория: Рентгенолог
Похожие и рекомендуемые вопросы
Может на ренгене рак перепутать с ковидной пневмонией С 30.01.2022 поднялась т до...
Снимок непонятный Посмотрите пожалуйста снимок, видите ли вы пневмонию правосторонную...
Есть ли отклонения на ренгене у подростка? Сын болеет со 2.10. Температура до 38,5,...
Сильный кашель, температура, пневмония? Нужно сделать описание снимка, сильный кашель...
Бронхит или пневмония? Подскажите, пожалуйста, диагноз по рентген снимку. Мальчик...
Исключить пневмонию 10 дней назад была высокая температура один день и кашель. После1...
Пневмания или всё же нет? Помогите пожалуйста разобраться. Дочьке 2.5 года 6 апр поднялась...
Хламидия пневмония Уважаемые доктора! Болела очень давно - с 20 января 1018 года....
Высокая температура 38.8 расшифровка анализа Помогите пожалуйста. Ребенок болеет уже...
Диагноз Пневмония Ребенку 2 года,12.02.2019-появился небольшой сухой кашель, температура...
Что такое шаровидная пневмония? Ребенок 6 лет перенес правосторонюю пневмонию. Врач...
На ренген признаки бронхит или пневмонии? У сына сильный кашель. Температура около...
Мои легкие Сделали ренген легких сказали есть вроде вневмония, тк кашель хрипы температура...
Очаги в S6 правого легкого Уважаемые специалисты!
2 июня 2020 года прошла первый...
Есть ли у нас пневмония Сделали ребёнку снимок скажите пожалуйста есть ли на снимке...
Ренген и пневмония Уже задавала вопрос. Сыну 9 лет, после 5 дневной лихорадки, сделали...
Снимок флюорографии с пневмонией Доктор. 12 июля я начала немного кашлять. Подумала...
Снижение пневматизации на рентгене Есть вопрос по рентген лёгких. Проходила его по...
Расшифровка описания Скажите, пожалуйста, что означает описание рентгена: с обеих...
Лечение пневмании Поднялась температура до 38. Без других симптомов. Принимала арбидол,...
