1
Рентген лёгких
Спрашивает: Аля
Пол: Женский
Возраст: 36 лет
Хронические заболевания: не указаны
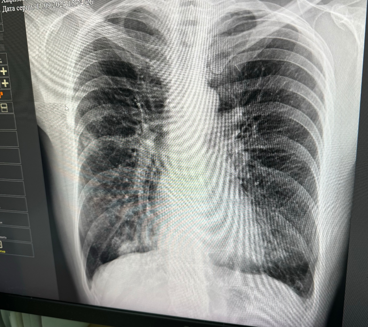
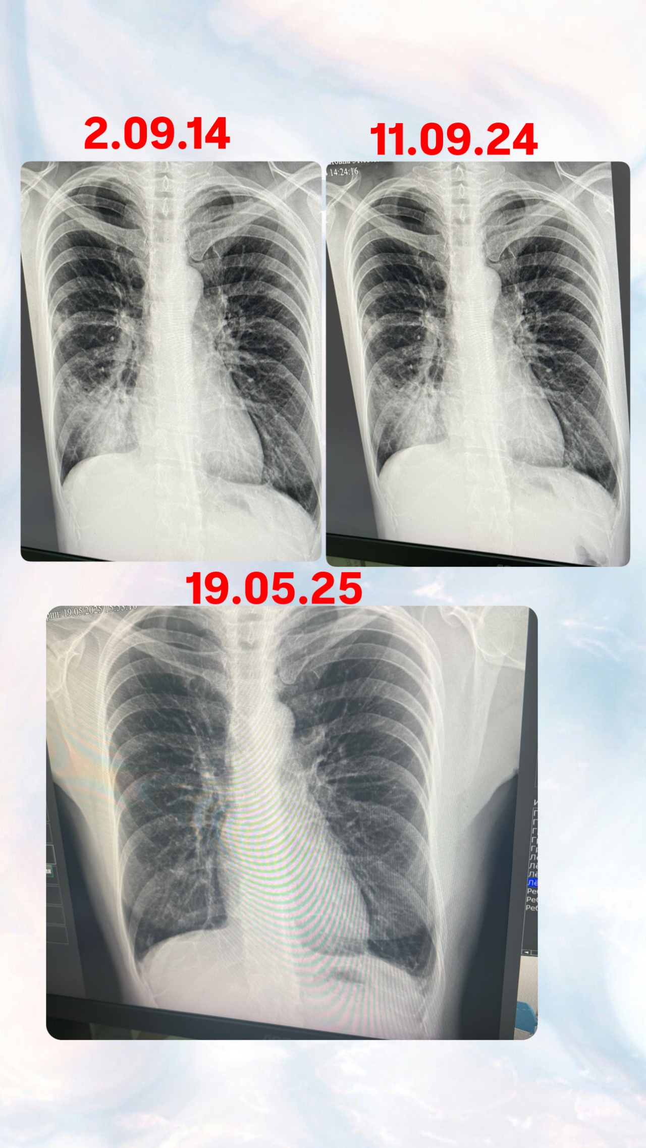
Доброго времени суток! В сентябре 2024 года я переболела пневмонии, температура долго держалась, лежала в больнице 2 недели, повторила рентген снимок в мае 2025 года, посмотрите пожалуйста и дайте свой комментарий, спасибо заранее ????????
Категория: Пульмонолог
Похожие и рекомендуемые вопросы
Длительный субфебрилитет при медленно разрешающейся пневмонии Уважаемый Евгений Федорович!...
Эмфизема, пневмосклероз - верный ли диагноз? Уважаемые врачи, заранее благодарю за...
Есть ли рубец на легком? Что Вы можете сказать по этому снимку? Действительно ли есть...
Ателектаз левого легкого Евгений Федорович. Муж месяц назад начал кашлять, температура...
Описание флюорографии Сделала планово флюорографию в поликлинике, ничего не беспокоило....
Рентген лёгких. Это воспаление? Месяц назад у папы начался сухой кашель, других симптомов...
Фиброз на КТ. Что делать? 12 октября поднялась температура до 37,2, сильная ломота...
Спайки в легких Посмотрите пожалуйста результаты кт. Беспокоят одышка при беге, иногда...
Внебольничная пневмония Евгений Федорович.26.05.20 темп.37.2 (орально), боли в суставах,...
Плевропневмофиброз Мой муж в конце сентября переболел пневмонией после ОРВИ. Лечили...
Видно ли на нашем снимке пневмонию? Врач который описывает снимки ставит диагноз пневмония....
Боли в легких, признаки перенесенной пневмонии Подскажите пожалуйста могут ли болеть...
Рентген не обнаружил пневмонию, делать ли КТ? Помогите разобраться пожалуйста.
Вводные:...
Снимок флюорографии с пневмонией Доктор. 12 июля я начала немного кашлять. Подумала...
Снимок рентген Подскажите пожалуйста
Сделали снимок ребёнку. Врач сказал что пневмонии...
Скрытая пневмония или туберкулез Лечусь от бессимптомной пневмонии пропил флемоксин...
Расшифровать рентген лёгких Посмотрите, пожалуйста, снимок рентгена лёгких и бронхов....
Вопрос по снимку Проходила рентген легких, т. к. беспокоит субфебрильная температура,...
Консультация по рентгену легких Муж более три недели. Температура 37-37,4, очень сильный...
Рентген легких ребенка Можно ли по снимкам определить, чем болен ребенок. Кашель 2...
7 ответов
Не забывайте оценивать ответы врачей, помогите нам улучшить их, задавая дополнительные вопросы по теме этого вопроса.
Также не забывайте благодарить врачей.
Также не забывайте благодарить врачей.
Здравствуйте! На представленном снимке признаков пневмонии нет. Отмечаются эмфизематознве изменения верхних отделов, локальный фиброз справа. Надо видеть предыдущие снимки, стоит сделать спирография с пробой на 400 мкг сальбутамола для исключения астмы или ХОБЛ
0
Динамика положительная пневмония полностью разрешилась Спирография нужна, также необходима вакцинация от пневмококка
0
Да, совпадает. Постпневмонический фиброз не относится к смертельным заболеваниям и не требует лечения. После любой травмы или большого воспаления остается рубец, это нормально, это законно и это физиологично. Вы же не лечите рубец на руке после пореза через 2 недели после того как рубец затянул рану.
Есть смысл в поддержании противовирусного и антибактериального иммунитета в виде пневмококковой и противогриппозной вакцин. Необходимо пить не менее 1.5 литров воды в день, неплохо работает тонзилгон в плане восстановления слизистой бронхов и легких после воспаления.
Есть смысл в поддержании противовирусного и антибактериального иммунитета в виде пневмококковой и противогриппозной вакцин. Необходимо пить не менее 1.5 литров воды в день, неплохо работает тонзилгон в плане восстановления слизистой бронхов и легких после воспаления.
0





