0
Травма копчика
Спрашивает: Юлианна2017
Пол: Женский
Возраст: 38 лет
Хронические заболевания: Нет
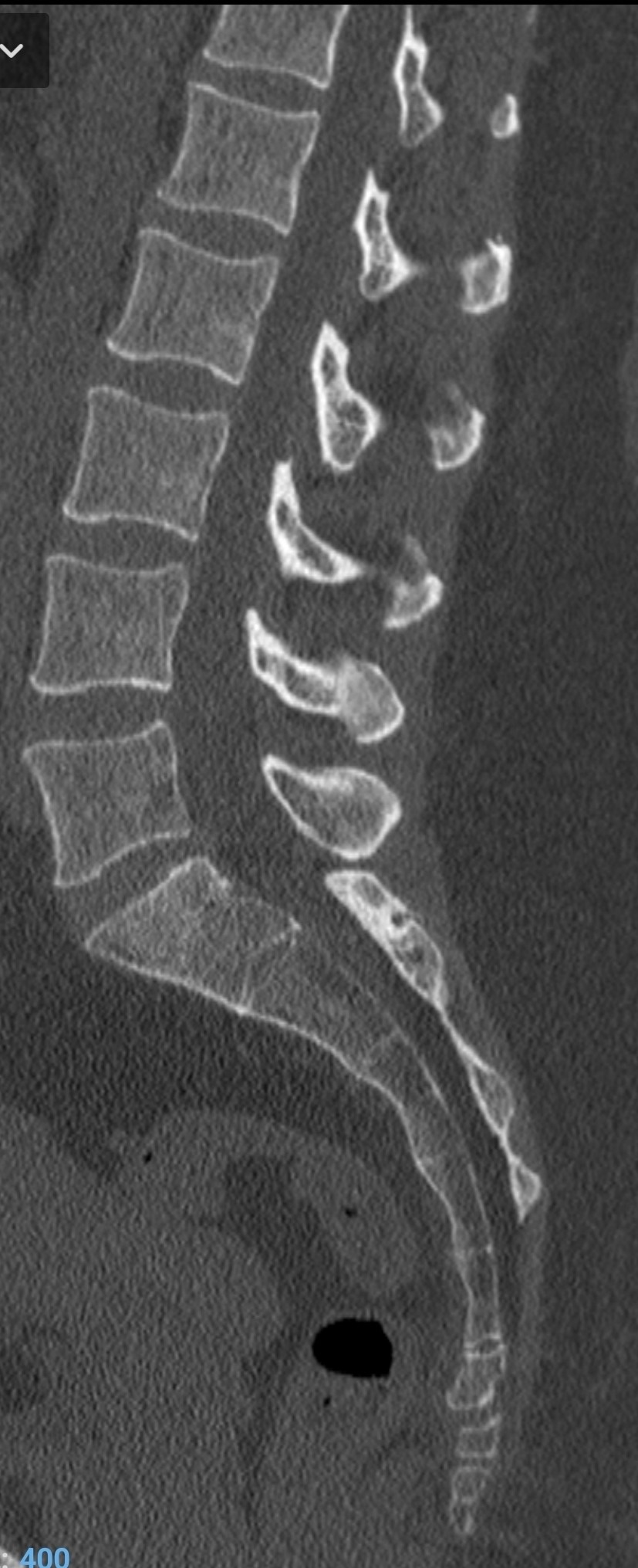
Здравствуйте, подскажите, пожалуйста. Неделю назад подскользнулась на лестнице и получила травму в районе копчика. Сделали КТ, жду результат. Проконсультируйте, почему болит? Есть ли ушиб или вывих? Болит при наклоне, вставании, при напряжении в районе ануса, при лежании на спине. Когда хожу чувствую распирание и напряжение в районе копчика, но не болит. Заранее благодарю.
Категория: Рентгенолог
Похожие и рекомендуемые вопросы
Сакроиелит? Полтора года назад у меня впервые возникла боль в районе копчика и крестца,...
Ноющая боль в районе копчика У меня такая проблема началось уже вот как 2 недели в...
Боль а районе копчика беспокоит Были роды почти 2 года назад, и до сих пор не прошел...
Боль в районе копчика Год назад обращался к неврологу с болями в спине, отдающими...
Дырочка в районе копчика Тема деликатная и не очень приятная.
Словом, мне 24 года,...
Покраснение и боль в районе копчика Меня беспокоит боль в районе копчика, на ощупь...
Боль в районе копчика На протяжении года беспокоят периодические боли в области копчика....
Перелом копчика В детстве скорее всего была травма копчика. Взрослые не обратили внимания....
Острая боль в районе копчика Спина беспокоит давно, но приступы бывают редко, не чаще...
Боли в спине в районе копчика и поясницы В детстве упала с санок на спину, не могла...
Боль в районе копчика У меня появилась боль с лева ниже поясницы. Когда я двигаюсь...
Роды после травмы копчика Беременность 33 недели.
Несколько лет назад сильно упала...
Внезапная боль в районе копчика Уже около 3 лет меня беспокоит внезапная боль в районе...
От чего может быть боль ноющая в районе копчика, ягодиц У меня ноющая боль в районе...
Травма копчика и беременность 10 лет назад был сильный удар копчиком о железную конструкцию,...
Боли в району копчика или прямой кишки Мне 47 лет Чуть больше месяца появились боли...
Герпес на копчике У меня второй день подряд болит копчик. Боль постоянная, не острая....
Травма копчика при родах Я получила травму копчика в результате родов.
При родах...
Сильные боли в районе копчика Два месяца назад моей маме (66 лет) была проведена операция...
Выделения, боль в районе копчика 21 декабря сделала узи малого таза, оказалась беременность...
3 ответа
Не забывайте оценивать ответы врачей, помогите нам улучшить их, задавая дополнительные вопросы по теме этого вопроса.
Также не забывайте благодарить врачей.
Также не забывайте благодарить врачей.


