0
Зуб мудрости или шестой или седьмой зуб
Спрашивает: Евгеній
Пол: Мужской
Возраст: 46 лет
Хронические заболевания: не указаны
Вітаю, Добрый день. Неделю назад у меня начала болеть десна в нижнем ряду за седьмым зубом. Там как бы ранка Толи трещина и подпухло немного. Та восьмерка седит крепко. Мне 46 доктор говорил шо она уже не выйдет. Так вот через пару дней добавилась боль в шестом или седьмом зубе. Пульсирующая боль. Ночью не спал почти. Утром сегодня поехал к хирургу он удалил шестой зуб так как он плохой на снимке. Теперь я думаю решил ли я проблему, или это будет продолжаться и в е это из-за восьмёрки? Как думаете на снимке есть восполнение которое давало боль? Спасибо
Категория: Стоматолог
Похожие и рекомендуемые вопросы
Удаление нижней восьмерки Вчера мне удалили нижнюю восьмёрку, удаление было сложным,...
Осложнение после удаления зуба На прошлой недели мне удалили зуб 6-ку. Зуб был в плохом...
Огромная шишка после удаления зуба Удалила сегодня зуб, в течении дня немного кровит....
Совместимость лекарства после удаления зуба Подскажите пожалуйста, вчера вечером удалили...
Удаление зуба мудрости, боли У меня такой вопрос. В нижнем ряду с самого края расположен...
Антибиотик после удаления Подскажите пожалуйста, какой антибиотик лучше пропить после...
Лунка после удаления зуба 11.2021 удалили зуб. Он был давно разрушен, пытались лечить,...
Боль в десне после удаления зуба Прошу Вашего совета!
12 июля мне удалили зуб, точнее...
Альвеолит или Беспокоит лунка после удаления зуба. Зуб передний верхний. Удалили две...
Десна после удаления зуба, боль Удалили 16 зуб сверху, удаляли по частям 14 октября,...
Зуб мудрости или шестой или седьмой зуб Вітаю, Добрый день. Неделю назад у меня начала...
Зуб мудрости, или шестой, или седьмой зуб Неделю назад у меня начала болеть десна...
Последствия удаления зуба Мне недавно удалили зуб. В десне осталось отверстие, в которое...
Не заживает лунка после удаления зуба 20 марта удаляла нижнюю 6, зуб был практически...
Сложная ли восьмерка для удаления? Хочу удалить верхнюю левую восьмерку.
1. Скажите...
Опухла десна после удаления зуба 5 дней назад был удалён зуб. Нижняя 6 справа. Показания...
Боль под челюстью после удаления зубов Сегодня стоматолог удалил два корешка на нижней...
Сильные боли после Удаления зуба мудрости Случайно задела твердой пищей поврежденный...
Удаление зуба и зиннат Сегодня удалила верхнюю семерку. Был разрушенный зуб с нарастанием...
После удаления кровит Сегодня удалили зуб беременность 34 недели. Бы гнойный периодонтит....
27 ответов
Не забывайте оценивать ответы врачей, помогите нам улучшить их, задавая дополнительные вопросы по теме этого вопроса.
Также не забывайте благодарить врачей.
Также не забывайте благодарить врачей.
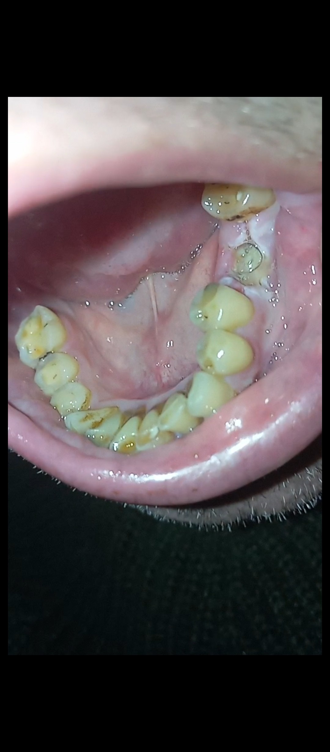
"Теперь я думаю решил ли я проблему, или это будет продолжаться и в е это из-за восьмёрки? Как думаете на снимке есть восполнение которое давало боль? " - Есть воспаление, зуб удалили правильно. Но боль, которую вы испытывали, скорее всего, была связана с воспалением десны над восьмым зубом, так как всё от туда начиналось.
Анестезия уже отошла после удаления зуба? Боль вернулась?
Анестезия уже отошла после удаления зуба? Боль вернулась?
0
Евгеній 2026-02-09 17:52
Я ещё не пойму что болит. Было сложное удаление. Там на снимке киста была на шестерка? А семёрка на снимке нормально?
0
"Там на снимке киста была на шестерка? " - Не киста, но гранулема, т. е. очаг хронического воспаления вокруг верхушки корня.
"А семёрка на снимке нормально? " - Да, нормально.
Отпишитесь завтра и опишите изменения в ощущениях.
"А семёрка на снимке нормально? " - Да, нормально.
Отпишитесь завтра и опишите изменения в ощущениях.
0
Добрый день. Опишите ваше состояние на данный момент.
0
Евгеній 2026-02-10 22:30
Мне 6 лет назад удаляли 8 справа. Та там он с кости ели достал его. Долго заживало потом. И семёрку потом ещё пришлось убрать
0
"Все таки придется удалять восьмёрки? " — Через 3-4 дня стане понятнее. Отпишитесь в субботу и опишите динамику изменения ощущений.
0
Евгеній 2026-02-14 10:28
Добрый день. Короче мое самочувствие ухудшилось. Начались сильные боли там где зуб удалили, припухло все. Сегодня поехал к хирургу. Вскрыли. Говорит альвиолит. Начал чистить там ещё и остеомелит.,типа отмерает кость. Почистили, положили лекарство. В понедельник на прием. Выписали Лоратадин, еквалипт. Ибупрофен. Сказали шо антибиотики не надо, потому что я пропил левофлокситин 10 дней уже. Скажите пожалуйста может нужны всё-таки антибиотики? Это ж гной там в кости?
0
Евгеній 2026-02-14 10:31
А этот остеомелит получается начался давно уже на том больном зубе? Или это после удаления появилось?
0
Если был действительно гной, то я бы все же назначил антибиотик широкого спектра, например, цефтриаксон, но его колоть надо по одному грамму два раза в день.
0
Добрый день. Опишите ваше состояние на данный момент.
0
Евгеній 2026-02-17 16:19
Добрый день. Позавчера был в челестно лицевой областной с сильной болью. Альвиолит. Почистили все. Выписали антибиотик моксиклав и доксициклин. Болит ужасно сильно соседний зуб пятый. Как при пульпите. На нем есть темное пятнышко но свиду зуб нормальный. Я не знаю шо делать уже с ним. Хирург сказал что зуб хороший. Но он же сильно выражено болит. Даже лунка не так болит. Как Вы видите на снимке он норм?
0
При альвеолите боль такая же, как при пульпите — это вы правильно подметили. Такие боли могут продолжаться от 1 до 3-4 недель. Но постепенно с каждым днем должно становиться легче, то есть интенсивность меньше, частота прострелов в ухо, в висок, в челюсть и в 5-ый зуб с каждым днем должно становиться все меньше и меньше.
0
"Десна побелела вся. Эт норм)? " - Это последствия удаления зуба. Это ишемия и некроз слизистой. Ничего страшного. В течении 7 дней она станет красной и где-то через месяц вся лунка затянется новой тканью.
"вот на зубе пятом черная точка может это все же он больной? " - Да, там, скорее всего, имеется кариес под пломбой, но причина ваших болей в данный момент — альвеолит, как осложнения после удаления зуба. А пломбу в 5-ом зубе можно будет заменить после заживления лунки удаленного зуба, т. е. где-то через месяц.
"вот на зубе пятом черная точка может это все же он больной? " - Да, там, скорее всего, имеется кариес под пломбой, но причина ваших болей в данный момент — альвеолит, как осложнения после удаления зуба. А пломбу в 5-ом зубе можно будет заменить после заживления лунки удаленного зуба, т. е. где-то через месяц.
0
Отпишитесь через три дня и опишите динамику ваших ощущений.
0
Добрый день. Опишите ваше состояние на данный момент.
0
Отлично! Будьте здоровы! Пишите, если будут вопросы.
0
Евгеній 2026-02-26 10:32
Добрый день Николай Игоревич. Такая беда снова). я перестал пить антибиотики. Потому что уже кишечник от них болит. Вроди все шло на поправку уже. Но вчера вечером опять дискомфорт в лунке. Ночью болело, ныло. Утром продолжается. Десна опухшая и щека немного. До хирурга вообще не знаю когда пойду. Попробую на днях. Почистил ваткой утром вроди гноя нету. Поласкаю календула и стоматофит. Плю хлороксидин. Дырка чета вообще не заростает. Прошло уже три недели от удаления. Ну и 12 дне после чистки альвиолита. Шо опять антибиотики принимать? И чего оно так долго заживает у меня?
0
"Десна опухшая и щека немного. " — Главное то, что динамика положительная, т. е. отек сегодня уже меньше, чем 5 дней назад.
"Но вчера вечером опять дискомфорт в лунке. Ночью болело, ныло. Утром продолжается. " — Это нормально. Отлично, что уже нет острых болей в виде прострелов. Красные элементы в лунке — это показатель заживления. Они будут разрастаться и заполнять лунку.
В целом повода для волнения не вижу.
"Но вчера вечером опять дискомфорт в лунке. Ночью болело, ныло. Утром продолжается. " — Это нормально. Отлично, что уже нет острых болей в виде прострелов. Красные элементы в лунке — это показатель заживления. Они будут разрастаться и заполнять лунку.
В целом повода для волнения не вижу.
0








