0
Зуб мудрости или шестой или седьмой зуб
Спрашивает: Евгеній
Пол: Мужской
Возраст: 46 лет
Хронические заболевания: не указаны
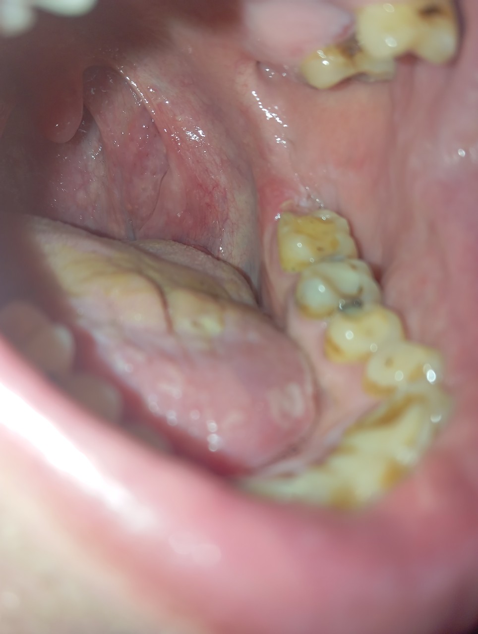
Вітаю, Добрый день. Неделю назад у меня начала болеть десна в нижнем ряду за седьмым зубом. Там как бы ранка Толи трещина и подпухло немного. Та восьмерка следит крепко. Мне 46 доктор говорил шо она уже не выйдет. Так вот через пару дней добавилась боль в шестом или седьмом зубе. Пульсирующая боль. Ночью не спал почти. Утром сегодня поехал к хирургу он удалил шестой зуб так как он плохой на снимке. Теперь я думаю решил ли я проблему, или это будет продолжаться и в е это из-за восьмёрки? Как думаете на снимке есть восполнение которое давало боль? Спасибо.
Категория: Стоматолог
Похожие и рекомендуемые вопросы
Зуб мудрости или шестой или седьмой зуб Вітаю, Добрый день. Неделю назад у меня начала...
Зуб мудрости, или шестой, или седьмой зуб Неделю назад у меня начала болеть десна...
Опухла десна у зуба мудрости, как снять воспаление? У меня недавно откололся кусочек...
Боли при росте зуба мудрости Вопрос такой: у меня очень неудачный зуб мудрости (фото...
Удаление мудрого зуба Мне удаляли 4 зуба мудрости операционно. Прошло больше месяца....
Болит десна после удаления зуба мудрости В понедельник удалила зуб мудрости, сегодня...
Зуб мудрости Здравствуйте. Очень прошу помощи! Лезет вторая половинка зуба мудрости,...
Растет зуб мудрости боль в десне У меня очень сильно болит десна, растет зуб мудрости.
Болит десна , зуб мудрости лезет и толкает другой зуб Растет зуб мудрости и из за...
Ретромолярный треугольник Подскажите что это может быть!
Два дня назад стала болеть...
Болит десна, на ней что- то белое. Часто спокоит зуб мудрости, года 3 назад его даже...
Болит десна и нёбо в области зуба мудрости Помогите мне, пожалуйста! Уже с Нового...
Болит челюсть уже 8 месяцев Вот уже 8 месяцев болит челюсть. Началось всё в ноябре,...
Болит десна возле зуба мудрости У меня беременность 15 недель. Два года назад начал...
Увеличение лимфоузла на шее из-за зуба мудрости Меня беспокоит такой вопрос. Дело...
Опухла десна, болит язык Доктор. Пару дней назад поставили диагноз (пневмония), возможно...
Боль от зуба мудрости или нет? Ситуация обстоит крайне неприятно. Где-то месяца 1,5...
Ноет щека, припухлость, зубы не болят Дня 4 назад появилось ощущение, что припухла...
Зуб мудрости, боль в десне Меня последние три дня беспокоит зуб мудрости с правой...
Образование на десне Беспокоит образование, представляющее собой нарост между 2 и...
1 ответ
Не забывайте оценивать ответы врачей, помогите нам улучшить их, задавая дополнительные вопросы по теме этого вопроса.
Также не забывайте благодарить врачей.
Также не забывайте благодарить врачей.



