0
Болит зуб после лечения (9
Спрашивает: Диана
Пол: Женский
Возраст: 25 лет
Хронические заболевания: Нет
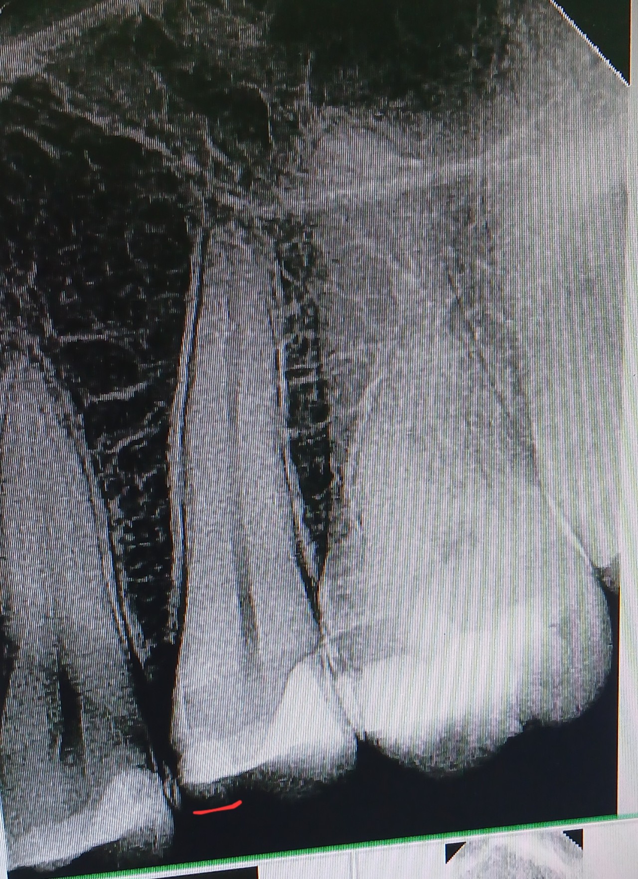
Здравствуйте. Лечила зуб (5ка) месяц назад сбоку, на фото пометила, а с другой стороны 3 года назад лечили. Стоматолог посмотрела снимок, сказала все нормально, пломба далеко от нерва. Но после лечения в этот раз он начал болеть, ноет, а ночью сильнее, удивительно что до лечения вообще не болел. Подскажите почему так?
Категория: Стоматолог
Похожие и рекомендуемые вопросы
Болит зуб при долгом постукивании Неделю назад лечили верхний зуб, пятерку, удалили...
Боль в корне зуба Мучает с 3 июня боль в 5 зубе в верхней челюсти слева, обратилась...
Мне кажется, я что-что сделала не так) У меня такая ситуация. Два месяца назад на...
Лечение зуба Я лечила, мне поставили мышьяк, 16.05 мне удалили нерв, но зуб болел...
Зубная боль Сутки назад начал болеть зуб который, уже лечили и наложили пломбу, но...
Зуб болит Год назад сломался зуб на нижней челюсти справа. Начал болеть и опухать...
Болит зуб, беременность Я на 10 неделе беременности, и у меня начал болеть зуб. Как...
Пульсирующая боль в зубе после лечения Вчера лечила нижний зуб, чистили каналы. Поставили...
На верхнем нёбе уплотнение У меня на твёрдом верхнем нёбе языком чувствуется какое-то...
Онемела щека и десна У Меня несколько дней Назад Очень заболела голова. Думала Простыла....
Почему болят передние зубы У меня болят передние зубы, боль не локализована, скорее...
Можно лечить шатающийся зуб? У меня такая проблема: давно откололся кусочек зуба и...
Сгнил зуб лечение Подскажите пожалуйста. Сгнил зуб, не лечила долгое время,...
Зубная паста Уважаемый доктор! Месяц назад закончила лечить зубы (снимали камень,...
Опухла десна после заморозки Мне лечили кариес на пред-последнем зубе (коренном) и...
Зубная боль на 34 недели беременности У меня 34 неделя беременности. Болит очень коренной...
Болят соседние зубы после удаления зуба У меня проблема. 9 дней назад было сложное...
Не действует анастезия Доктор! У меня такая ситуация. При лечении зуба 46 - пульпит...
Боль в десне после лечения зубов Полгода назад лечила вверху справа два последние...
Болят кончики зубов У меня болят кончики зубов, верхних передних и нижних, уже дня...
