0
Рентген легких проверить снимок
Спрашивает: Андрей
Пол: Мужской
Возраст: 31 год
Хронические заболевания: не указаны
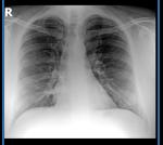
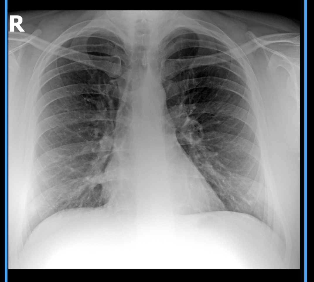
Добрый день, мне 31 год. Сделал рентген лёгких, сказали что все хорошо лёгкие здоровые, но одышка беспокоит, прикрепляю снимок, пожалуйста посмотрите снимок скажите точно с легкими все хорошо? Чтоб ошибки не было. Спасибо
Категория: Рентгенолог
Похожие и рекомендуемые вопросы
Рентген лёгких Можно ли попросить Вас посмотреть снимок? В течение нескольких месяцев...
Снимок рентген легких Я в мае сильно болела, 7 июля тест на антитела на ковид 19 -...
Неприятные ощущения в груди после перенесённой пневмонии. Рентген легких. Отдышка Переболела в октябре восполением лёгких 36%поражения лёгких. Беспокоит неприятные ощущения в области груди. Сердце без паталогий. Мне не
Рентген лёгких, описание Ребенку 3 года, мы не делаем манту и поэтому педиатр отправила...
Рентген гайморит Болею двухсторонним гайморитом, делала рентген в начале болезни и...
Здравствуйте, Помогите расшифровать рентген легких, сделанный сегодня Помогите расшифровать....
Ковид и рентген У папы температура 4 дня 38.5 назначили лечение, сделали снимок сказали...
Рентген легких при астме У меня бронхиальная астма поставлена два гола назад, но у...
Рентген легких все ли в порядке Подскажите все ли в порядке на снимке? Поставили диагноз...
Эмфизема легких? Рентген Помогите пожалуйста с моей проблемой. Примерное две недели...
Температура боли в спине и груди Болит спина сзади, в лопатках и между лопаток посередине...
Нужна консультация по снимку легких ребенка 3 лет У ребенка по анализам крови лейкоциты...
Есть ли подозрение на туберкулез? Прошла план. Флюорографию. Рентгенолог сказал, что...
Рентген легких, помогите расшифровать Помогите расшифровать рентген. Отцу 63 года,...
Помогите расшифровать снимок Все ли в порядке с легкими? Сделал рентген легких. Рентген...
Эмфизема легких по рентгену Помогите пожалуйста понять, верно ли описание рентгена...
Есть ли у нас пневмония Сделали ребёнку снимок скажите пожалуйста есть ли на снимке...
Рентген, Пневмония? Расшифруйте рентгенологический снимок. Снимок сделан сегодня....
Снимок флюорографии с пневмонией Доктор. 12 июля я начала немного кашлять. Подумала...
Расшифровка снимка. Пневмония? После ОРВИ на протяжении месяца продолжается кашель,...
