0
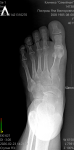
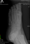
Краевой перелом дистальной фаланги
Спрашивает: Яна
Пол: Женский
Возраст: 40 лет
Хронические заболевания: Нет
Здравствуйте.
Несколько дней назад сильно ударила большой палец ноги. Поболело место ударно и все прошло бесследно. Спустя пару дней стала беспокоить боль в косточке при надавливании - сначала случайно задела, затем стала наблюдать. Боль не сильная, периодическая. Сделала рентген. К травматологу собираюсь на прием, но записи нет на ближайшее время. Внешне нога выглядит как обычно. Нет отека, синяка, подвижность не нарушена.
Какая моя тактика для заживления перелома?
Несколько дней назад сильно ударила большой палец ноги. Поболело место ударно и все прошло бесследно. Спустя пару дней стала беспокоить боль в косточке при надавливании - сначала случайно задела, затем стала наблюдать. Боль не сильная, периодическая. Сделала рентген. К травматологу собираюсь на прием, но записи нет на ближайшее время. Внешне нога выглядит как обычно. Нет отека, синяка, подвижность не нарушена.
Какая моя тактика для заживления перелома?
Категория: Ортопед-травматолог
Похожие и рекомендуемые вопросы
Закрытый краевой перелом нижней части голыжки Подскажите пожалуйста. Уже как месяц...
Закрытый краевой перелом дистального метаэпифиза плечевой кости Ребенок 4 года упал...
Краевой перелом фаланги большого пальца Августа я получила травму, после работы обратилась...
Перелом дистальной фаланги пальца кисти У меня открытый перелом дистальной фаланги...
Перелом 2 3 4 5 плюсны Сломала ногу 28,04, плюсневые кости, поехали в больницу, наложили...
Шейкабедра перелом Уважаемый доктор, обращаюсь к Вам за советом и помощью. Моя бабушка...
Краевой перелом наружной лодыжки 26 марта дочка пожаловалась на ноющую боль в ноге...
Краевой перелом кубовидной кости 20.03 неудачно вышла из автобуса - нога застряла...
Краевой перелом пяточной кости без смещения Неделю назад получил травму на рабочем...
Оскольчатый перелом пяточной кости со смещением 9.09 упала с высоты 1,5-2,0 метров...
Краевой перелом фаланги первого пальца правой руки Проблема у меня вот в чем: недавно...
Перелом бугристости ногтевой фаланги Подскажите, пожалуйста. Недавно я прижала очень...
Перелом стопы и травма 2, 3, 4 фаланг Доктор! Я 9августа подвернула левую ногу в положение-...
Подвернула ногу Недели назад подвернула ногу. Было очень больно, нога сильно отекла...
Компрессионный перелом L1 Уважаемый доктор!
Обращаюсь к Вам со следующим вопросом:...
После перелома ноги стали сильно болеть суставы и мышцы У меня 8 03.13г произошла...
Отек при травме голеностопа Почти два месяца назад неудачно вышла с автобуса, прыгнула...
Краевой перелом апофиза наружной лодыжки Моя дочь, ей 11 лет подвернула ногу, на рентгене...
Перелом лодыжки, гипс без смещения Обьясните пожалуста с чем может быть связанна боль...

