0
Боль в горле утром
Спрашивает: Atti
Пол: Мужской
Возраст: 45 лет
Хронические заболевания: Фарингит
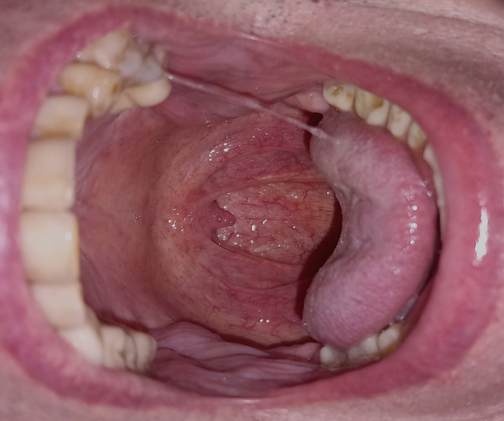
Здравствуйте, Пожалуйста, посмотрите на изображение, в каком состоянии находится мое горло? Уже длительное время по утрам и при глотании у меня болит горло. Нёбные дужки часто красные, а на задней стенке горла есть прыщеподобные бугорки. Правая миндалина тоже увеличена. Я уже несколько раз проходил осмотр у ЛОР-врача, диагностирован хронический фарингит, улучшений нет, к сожалению, мое горло очень слабое с детства. Мой вопрос: чем лечить, как можно окончательно восстановить горло? Спасибо.
Похожие и рекомендуемые вопросы
Горло не болит, но больно глотать Горло не болит, но больно глотать слюну и пищу с...
Не проходит воспаление в лор-органах Около года меня беспокоют лор-органы. Насморк...
Красные задние небные дужки и язвочка тонзиллит? Стоматит? Абсцесс? Очень сильно болит...
Боль в горле более 2х недель Уже третью неделю проблемы с горлом. Сперва было ощущение,...
Шишка в горле, кашель, насморк Здравствуйте, очень нужна ваша консультация. В горле...
Болят уши при кашле 4 года Ребёнку 4 года была высокая темпиратура 39,5 без симптомов...
Фиолетовое над миндалиной Пару недель назад появилась легкая боль в горле. Некоторое...
Болит горло и есть изжога На протяжении недели у меня жжёт в горле. Иногда болит но...
На миндалине что то мешает Уже как два месяца чувствую что что то мешает на левой...
Помогите разобраться с болезнью горла Четыре месяца назад появился ком в горле и боль...
Риноцытограмма Помогите расшифровать анализ Риноцытограммы н-61, э-6, л-31, эп-2....
Жутко красное горло, не знаю чем уже лечить У меня уже отчаяние вылечить свое горло....
Пол года болит горло в области кадыка и под челюстью Обращаюсь к вам за помощью в...
Болит горло в области кадыка У меня болит горло в области кадыка, и так же бывают...
Царапины в горле Очень сильно болит горло. Ощущение что там как будто иголкой колят....
Болит горло внутри Подскажите пожалуйста начало болеть горло внутри стало немного...
Горло красное но не болит Существует проблема, которой уже почти 2 - месяца. У меня...
Боль в горле по утрам, температура 37,2 Подскажите пожалуйста. У меня уже как год...
У ребёнка болит горло утром Неделю назад у дочки поднялась температура и начался насморк,...
Сильно болит горло по утрам Уважаемый врач. У меня уже год болит горло, и никто не...
4 ответа
Не забывайте оценивать ответы врачей, помогите нам улучшить их, задавая дополнительные вопросы по теме этого вопроса.
Также не забывайте благодарить врачей.
Также не забывайте благодарить врачей.


