0
Боль в бедре не проходящая длительное время
Спрашивает: Анастасия
Пол: Женский
Возраст: 36 лет
Хронические заболевания: Нет
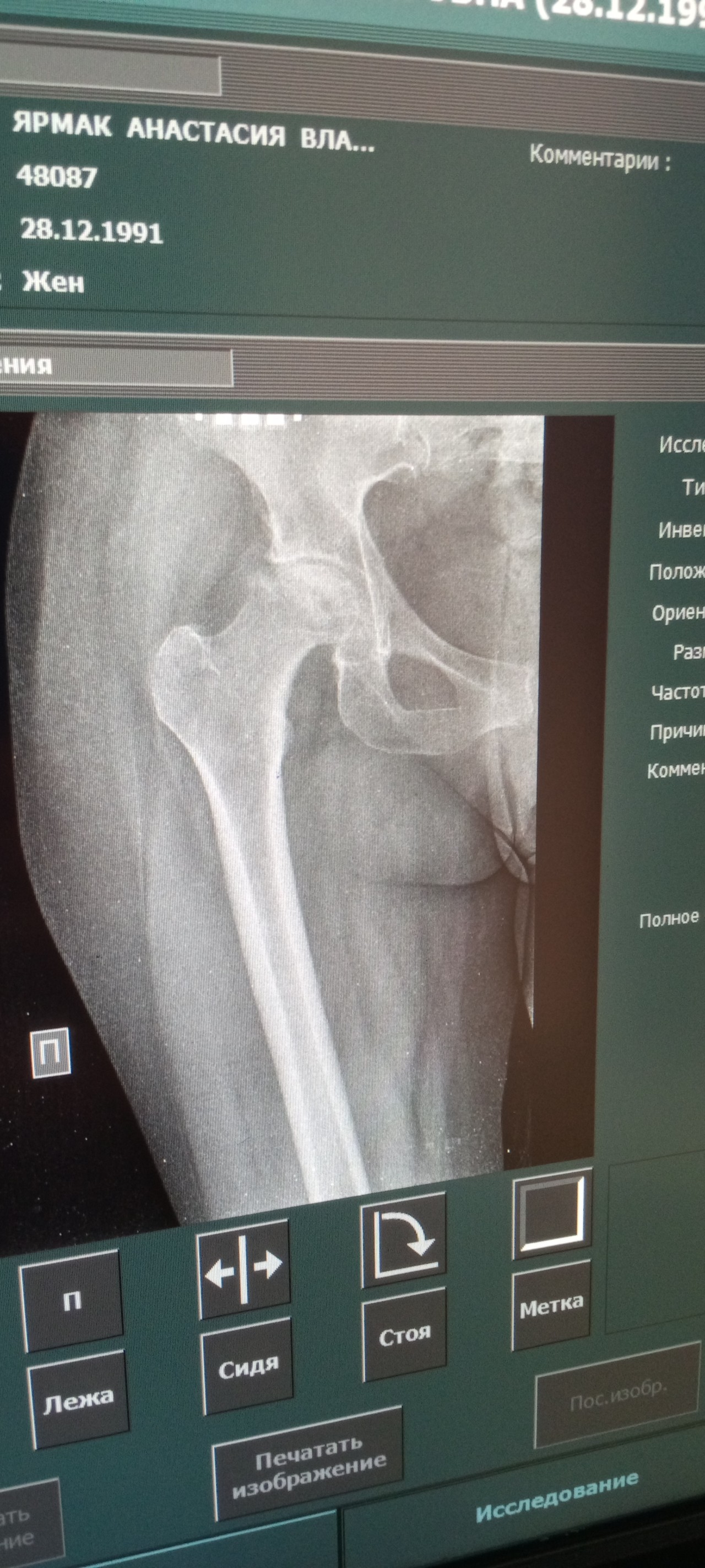
Здравствуйте, длительное время юеспоклит боль в бедре. Больно ходить. Иногда ослабевает, но зачастую усиливается. Сделала рентген снимок. Прикладываю. Подскажите насколько все серьезно и можно ли это вылечить медикаментозно? Какие мои действия?
Категория: Ревматолог
Похожие и рекомендуемые вопросы
Боли в суставах длительное время Мужу 30 лет с февраля месяца беспокоят блуждающие...
Боль в суставах и скованность по утрам Доктор помогите справится с суставами.! В 2018...
Боль в одной ноге длительное время Я писала вам в другой ветке но потеряла свой вопрос,...
Слабость длительное время Подскажите, пожалуйста, как помочь человеку! 39 лет, в ноябре...
Длительное время чихание и насморк по утрам, боли в ушах Уважаемый доктор! Прошу Вашей...
Отчего болит голова длительное время? У меня начала болеть голова от умственного напряжения,...
Частые головные боли в лобной доле длительное время Пол женский, 23 года. Беспокоят...
Длительное время жидковатый стул Помогите, пожалуйста, разобраться в чем дело (какие...
Длительное время болит клитор, болезненность внешних половых губ Болит клитор, боль...
Долгое время болит горло У меня три дня болело горло, и была температура до 37. 7....
Может ли кость находится в горле длительное время С конца марта мучаюсь с горлом,...
Боли внизу живота длительное время Меня уже недели две мучают боли внизу живота. По...
Длительное время красное горло Ирина Юрьевна. С праздником вас! Здоровья! У меня такой...
Высокая температура и кашель длительное время У моего мужа уже больше месяца сильный...
Проблемы с суставами по всему телу Примерно полгода назад появилась боль в бедре при...
Можно ли пить Гастрофарм длительное время У меня смешанный гастрит поверхностный +...
Синовит поясничного отдела Длительное время беспокоит боль в пояснично крестцовом...
Длительное время беспокоит сухой кашель. На протяжении 2,5 месяцев меня беспокоит...
Показатели эритроцитов и гемоглобина выше нормы Доктор. Обращаюсь к вам по поводу...
