0
Щека уплотнение слева
Спрашивает: Анастасия
Пол: Женский
Возраст: 43 года
Хронические заболевания: не указаны
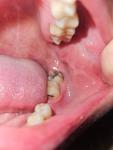
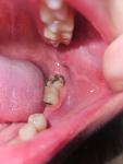
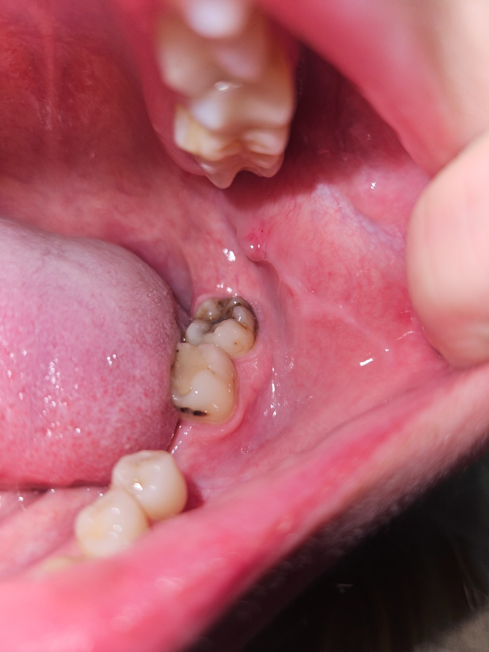
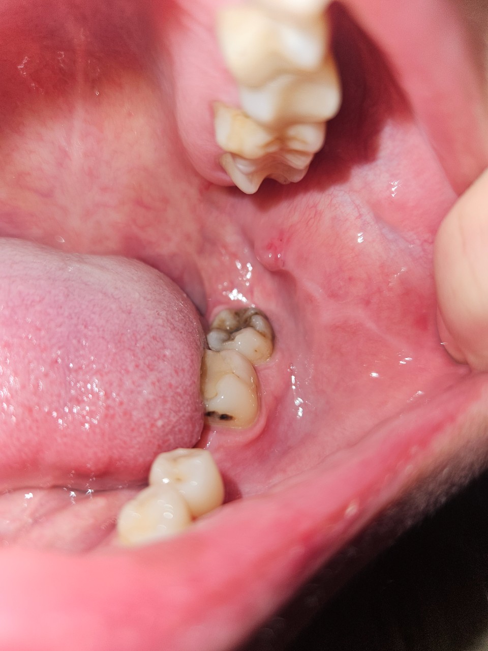
Здравствуйте, часто прикусываю щеку при еде. Образовалась нависание кожи что это может быть очень переживаю не рак ли это
Категория: Стоматолог
Похожие и рекомендуемые вопросы
Уплотнение в щеке Где-то месяц назад нащупала уплотнение с внутренней стороны щеки,...
Уплотнение в щеке после удаления 8-рки 3,5 месяца назад удалили восьмерку, дистопированный...
Уплотнение между щекой и десной У меня был флюс, и при нем образовалось между щекой...
Шарик в щеке, уплотнение в виде шарика Помогите пожалуйста что такое может быть? На...
Уплотнение в щеке Появилось уплотнение в щеке, не болит ощущается языком. Сама щека...
Уплотнение на щеке в виде синяка Поскажите, пожалуйста. На правой щеке неделю назад...
Уплотнение в щеке Во сне прикусила сильно щеку, появилась шишка и ранка. Рос зуб мудрости...
Уплотнение в щеке и губе после анестезии Удалили кисту из мягких тканей щеки. Через...
Уплотнение во рту в области щеки Сегодня дочка нашла языком уплотнение на щеке (чуть...
Уплотнение в щеке после удаления зуба Назад мне удалили зуб(вверху рядом с клыком...
Уплотнение в щеке после анастезии Неделю мучалась с зубом, пошла к врачу. Т. к. нужно...
Уплотнение в щеке после удаления зуба Дней назад удалили 8ку нижнюю. Лежал горизонтально,...
Появление язв внутри щеки, уплотнение тканей Около трёх дней назад в углу левой щеки...
Уплотнение на щеке У меня в июле ещё где то был ушиб в щеку под левым глазом, синяк...
Белое уплотнение на щеке Уже достаточно долгое время нащупываю языком твердое уплотнение...
Удален лазной зуб отечность и уплотнение в щеке Удален глазной зуб справа, на 2 день...
Синяк и уплотнение на щеке после лечения зубов В течении двух недель мне удалили зуб...
Уплотнение во рту У меня во рту, со стороны щеки образовалось небольшое уплотнение,...
Затвердение внутри щеки после удаления зуба Решила протезироваться. Доктор сняла мост...


