0
Красное горло, иногда болит
Спрашивает: Карина
Пол: Женский
Возраст: 22 года
Хронические заболевания: Насморк
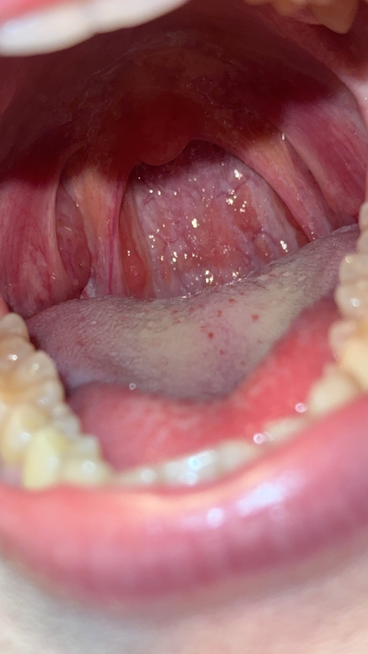
Здравствуйте, красное горло. Фото ниже.
Есть ощущения кома в горле, бывает иногда трудно глотать (делаю насильно, дабы проглотить сопли). У меня есть насморк. Ходила к Лору, смотрели, брали анализы - все чисто. Я полагаю, что это постназальный затек или фарингит, однако никто не подтвердил диагноз, хотя это состояние вызывает дискомфорт. Жкт в норме. Других проблем нет.
Есть ощущения кома в горле, бывает иногда трудно глотать (делаю насильно, дабы проглотить сопли). У меня есть насморк. Ходила к Лору, смотрели, брали анализы - все чисто. Я полагаю, что это постназальный затек или фарингит, однако никто не подтвердил диагноз, хотя это состояние вызывает дискомфорт. Жкт в норме. Других проблем нет.
Похожие и рекомендуемые вопросы
Красное горло, долго болит, красные небные дужки Больше двух недель болит горло. Сухость,...
Припухла шея и красное горло Три месяца назад переболела, в крови вышел ВЭБ и цмв,...
Постоянно болит горло, красное, образований нет Посоветуйте, пожалуйста! Около 3 недель...
Красное горло антибиотики не помогают Меч беспокоит горло и температура 36,8-37,5...
Насморк, красное горло, иногда закладывает левое ухо С понедельника я почувствовала...
Болит горло, красные пупырышки Стало побаловать горло с одной стороны возле неба....
Болит горло, уши, голова У меня периодически вылазиет фарингит, красные прыщи в горле,...
Горло болит не красное Дочке 9 лет, болит горло, не красное, на основании языка шишки,...
Боль в горле, очень красное Скоро будет ровно 2 месяца как мне удалили хронический...
Красное горло уже 3 недели Начиналась все с обычной простуды, болело горло неделю,...
Горло красное, болит, температуры нет Что это такое, горло красное и болит, средства...
Болит горло, осиплость, кашель, температура 37,2 У меня болит горло, осиплость, небольшой...
У ребенка красное горло уже 2 месяца Ребенку 1 год и четыре месяца, уже два месяца...
Красное горло Уже три недели дискомфорт и немного болит горло. Горло красное и задняя...
Красное горло, печёт и першит в носоглотке Не понятно как лечится. Горло красное,...
Горло красное но не болит Существует проблема, которой уже почти 2 - месяца. У меня...
Горло не болит, не красное, но есть дискомфорт, задыхаюсь У меня что то с горлом,...
Горло першит Подскажтте пожалуйста, что это может быть. Ощущение постоянного комка...
Больно глотать, а горло не болит и не красное В течении двух месяцев не могу глотать...
Увеличены миндалины, красное горло без температуры Проконсультируйте пожалуйста. Сделали...

