0
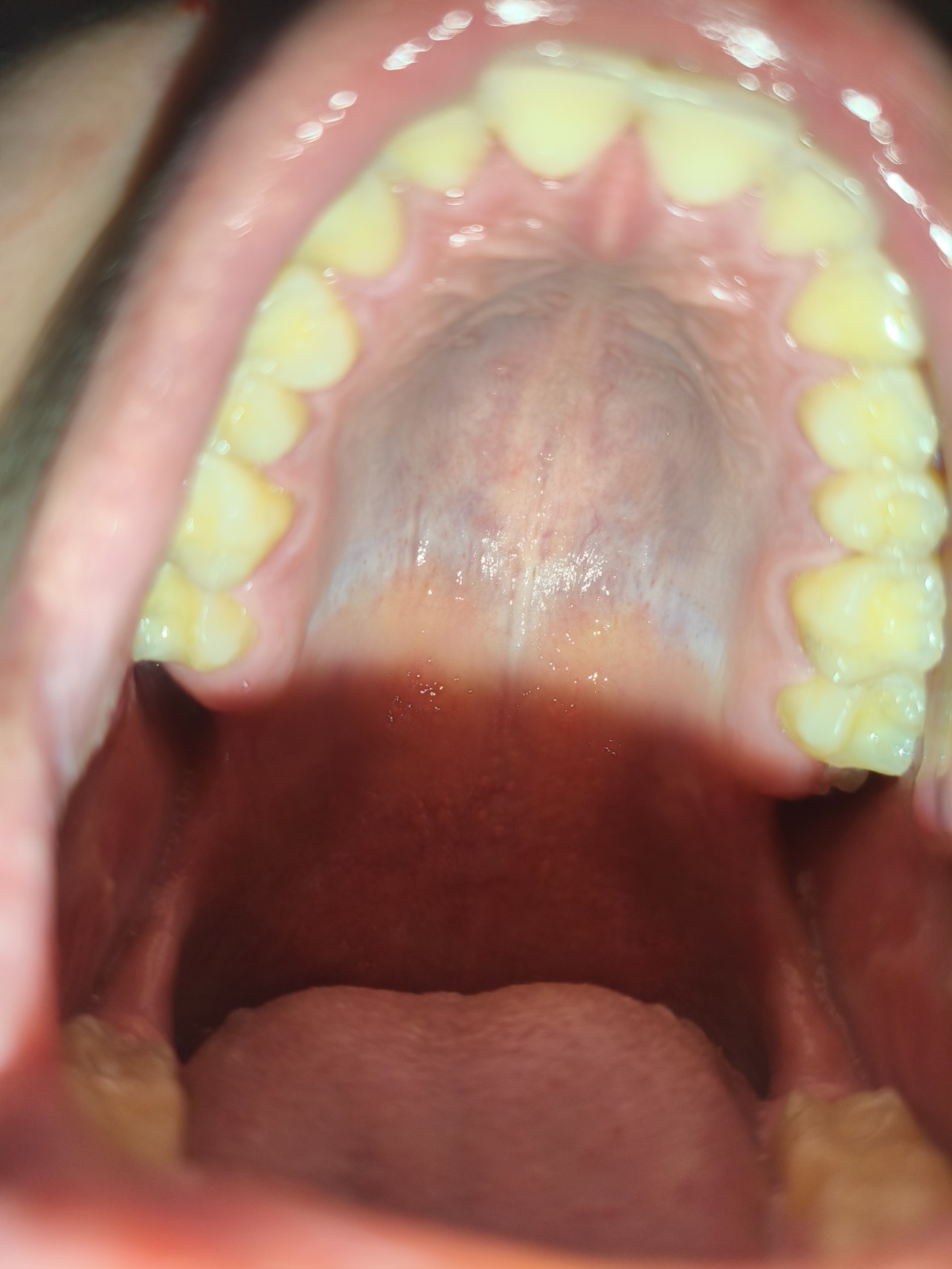
Цвет твердого нёба
Спрашивает: Qwe
Пол: Мужской
Возраст: 18 лет
Хронические заболевания: не указаны
Здравствуйте, недавно заметил, что мое нёбо, ближе к зубам, серого цвета. Никакого дискомфорта не испытываю, это не налет. Подскажите, пожалуйста, чем это может быть вызвано.
Похожие и рекомендуемые вопросы
Данный цвет твёрдого нёба норма или нет Добрый день, случайно увидела цвет верхнего...
Нормальный ли цвет твердом небе Беспокоит цвет на твердом небе должно ли так быть...
Уплотнение белого цвета на твердом небе У меня уже несколько лет на верхнем (твердом)...
Странный цвет твердого неба и образование у ребенка Пожалуйста помогите разобраться....
Ноет шея с правой стороны У меня вопрос, дня 4 назад заметил лёгкое пожалтение твердого...
Красное пятно на твёрдом нёбе Мне 30 лет, женщина, 14 ноября родила дочь, сейчас на...
Болит твердое небо У меня такая ситуация. Уже месяц болит твердое небо, точнее, по...
Покраснение твёрдого нёба Добрый день! Подскажите пожалуйста что может быть у меня?...
Пятно на твердом небе Я очень сильно переболела мне поставили хронический фарингит...
Шишка на небе Полторы недели назад появилась шишка на твердом небе, на след дегь началаст...
Желтизна на твердом небо, красные пятнышки на небо чешется Помогите пожалуйста. Небо...
Красное пятно на твердом небе! Беспокоит твердое небо! Долго не проходит, то краснеет...
Появилось красное пятно на твердом небе У меня появилось красное пятно на твердом...
Красное пятно на твёрдом нёбе Недели две назад у меня начался сухой кашель, который...
Стоматит или предраковое? 2 дня назад началось жжение в область твердого неба, при...
Красное пятно на твердом небе Два года назад мне сделали съемные зубные протезы, После...
Отхаркивается белая слизь, болит твердое небо, щелчки Опишу ситуацию. Вот уже около...
Твердая шишка на нёбе Лет 10-12 назад на нёбе появилась твердая шишка, она не болела,...
Красные пятна на твёрдом нёбе Я сейчас болею простудой (в основном кашель и насморк,...
Что это за красные пятна на твёрдом небе? У меня два дня назад появился сильный кашель,...

