0
Помогите описать рентген перелома мизинца стопы
Спрашивает: Светлана
Пол: Женский
Возраст: 49 лет
Хронические заболевания: Сенсорная полинейропатия. Посттромботическая болезнь конечности. Грыжи позвоночника
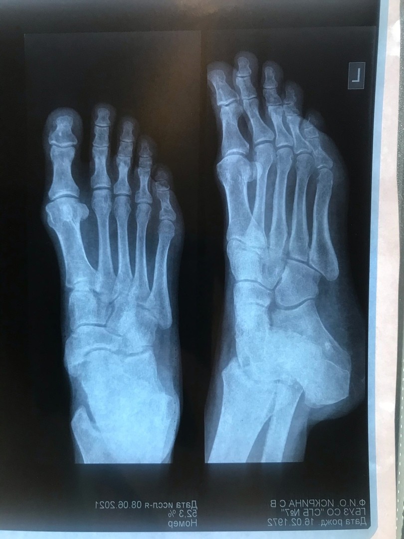
Здравствуйте, Помогите. Пожалуйста описать рентген перелома мизинца. Смещенный? Оскольчатый? Что с суставом? Прошло 2 месяца боли не прекращаются. Ходить не могу. Ночью просыпаюсь от боли. Что делать дальше после 2х месяцев? Развился артрит? Травматолог ничего по снимку не объяснил. Сказал что не оперируют только отрезают? Нужна операция? Не поздно спустя 2 месяца?
Похожие и рекомендуемые вопросы
Помогите описать рентген перелома мизинца стопы Помогите. Пожалуйста описать рентген...
Помогите описать рентген перелома мизинца стопы Помогите. Пожалуйста описать свежий...
Помогите описать рентген перелома мизинца стопы Помогите. Пожалуйста что на рентгене...
После перелома мизинца стопы сильные боли спустя 2 месяца Месяца назад перелом мизинца....
О переломе мизинца Два месяца назад сломала мизинец стопы - перелом фаланги без смещения...
О переломе мизинца стопы Два месяца назад сломала мизинец стопы - перелом фаланги...
Перелом малой берцовой кости со смещением менее 3 мм 2 декабря я сломала малую берцовую...
Перелом малой берцовой кости со смещением менее 3 мм 2 декабря я сломала малую берцовую...
Помогите описать рентген пожалуйста Помогите пожалуйста описать рентген. Три недели...
Перелом 5 плюсневой кости стопы Получила закрытый перелом 5 плюсневой кости левой...
Боль около мизинца в стопе С августа 2019 года после отпуска стала замечать, что на...
Боли после перелома мизинца Подскажите, пожалуйста, как поступить. Месяц назад сломала...
Смещение после остеосинтеза Нашла ваш email в интернете, хочу получить вашу консультацию,...
Перелом 5 пястной кости Доктор! В конце апреля 2014 года, я получил перелом пятой...
Перелом плюсневой кости пальца ноги У меня перелом плюсневой кости второго пальца...
Ударилась мизинцем ноги, посинел и болит Вчера ударилась мизинцем дома об угол. Палец...
Невыносимые сверлящие боли в мизинцах стоп Доктор. Очень надеюсь на вашу помощь не...
Рентген перелома фаланги пальца Травматолог зафиксировал перелом ногтевой фаланги...
Шишка у левого мизинца стопы Три недели назад заметила дискомфорт рядом с мизинцем...
Перелом пятой плюсневой кости Играя в баскетбол прыгнул за мячом, у меня подвернулась...
2 ответа
Не забывайте оценивать ответы врачей, помогите нам улучшить их, задавая дополнительные вопросы по теме этого вопроса.
Также не забывайте благодарить врачей.
Также не забывайте благодарить врачей.
Сращения нет, смещение есть. Показано хирургическое лечение.
0


