0
Открыты ли зоны роста. Смогу еще вырасти?
Спрашивает: Егор
Пол: Мужской
Возраст: 16 лет
Хронические заболевания: не указаны
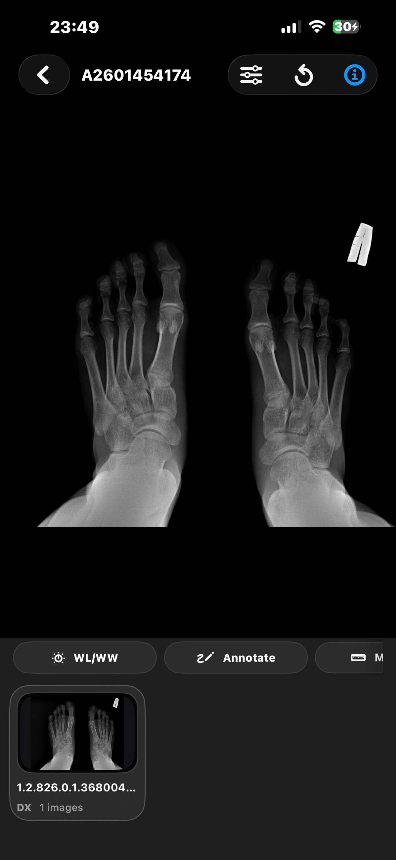
Здравствуйте, мне 16 лет и рост ~173см и мне очень хотелось бы узнать, открыты у меня зоны роста или нет? Сверстники все по 180-185 см и на их фоне я чувствую себя не очень комфортно. Сколько сантиметров я смогу прибавить в росте? Спасибо за ответ!
Категория: Рентгенолог
Похожие и рекомендуемые вопросы
Хотелось бы узнать, открыты ли зоны роста, смогу ли вырасти? Сделал снимок и хотелось...
Открыты ли зоны роста? Я смогу вырасти? Смогу ли я ещё вырасти? Из болезней были Варикоцеле...
Открыты ли зоны роста? Смогу я ещё вырасти? Открыты ли зоны роста? Смогу я ещё вырасти?...
Зоны роста в 16 лет, очень обидно Скажите пожалуйста, открыты ли зоны роста? Если...
Открыты зоны роста или нет? Я хотел бы узнать закрыты ли у меня зоны роста и узнать,...
Какие снимки делать чтобы узнать открыты ли зоны роста? Как мне узнать открыты ли...
Рентген для опредеения зон роста Мне 16 лет, хочу узнать открыты ли зоны роста. Снимок...
16 лет можно ли еще вырасти? Открыты ли зоны роста? По этому снимку можно узнать открыты...
Открыты ли зоны роста на снимке? Пожалуйста - открыты ли зоны роста на снимке и смогу...
Открыты ли зоны роста, и на сколько можно вырасти? Подскажите у меня открыты или закрыты...
Открыты ли зоны роста кисти рук? Пожалуйста не проходите мимо! Мне 17 лет снял рентген...
Какова вероятность что открыты зоны роста в ногах? Подскажите какова вероятность что...
Открыты ли зоны роста? 15 лет Мне 15 лет, мой рост (172 см). Отец (175,5).
Мама (164-165)....
Мне 18 лет, рост 175. На сколько сантиметров смогу вырасти Уточните закрыты ли у меня...
Зоны роста в 16 лет Вырасту ли я ещё? Открыты ли зоны роста? Сейчас рост 168,5-169....
Открыты ли зоны роста, на сколько можно вырасти Подскажите, сыну 14 лет рост 150 см,...
Открыты ли зоны роста? Сын очень хочет вырасти. Скоро 16 лет Посмотрите, пожалуйста,...
Помогите узнать открыты ли зоны роста по снимку Открыты ли у меня зоны роста, или...
Открыты ли зона роста или нет Сделала рентген, хотела узнать открыты ли зона роста...
Открыты ли зоны роста? Мне 18 лет, рост 175 см. За последние год-полтора вырос на...


